Die schmerzlose Lösung für bestmögliche Ergebnisse in kürzester Zeit
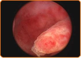
Die diagnostische Hysteroskopie wird so sehr schnell und schmerzlos durchgeführt wie ein Besuch zum Pap-Abstrich-Test. Gleichzeitig wird sie auf Video aufgezeichnet. Das Innere der Gebärmutter, der Embryoimplantationsort, stellt heute eine operativ gut zugängliche Region dar. Die Untersuchung erfolgt mit direkter Sicht mit dem Hysteroskop, liefert wichtige Informationen über die Faktoren erniedrigter Fruchtbarkeit, wie z.B.:
- die Qualität des Endometriums
- die Präsenz von Polypen
- die Präsenz von Narben oder weiteren entzündeten Elementen.


Die operative Hysteroskopie stellt eine weitere moderne Option unseres Zentrums dar. Sie erfordert eine Anästhesie und sollte deshalb einem sicheren Ort durchgeführt werden, wie in der Klinik des „Mitosis“-Zentrums. In diesem Prozess können wir sicher, komplikationslos und vor allem in einer sehr kurzen Zeit Operation durchführen, Deformationsfaktoren der Gebärmutterhöhle behandeln, Schwangerschaftsverhütung vornehmen aber auch bei Fehlgeburten eingreifen, wie z.B.:
- Entfernung von Polypen
- Lösung von Adhäsionen
- Lösung von Scheidewänden
- Materialgewinn zum Nachweis von Chlamydien, Ureoplasmen, Mykoplasmen und Herpesviren
