Metoda cu rezultate maxime în timp foarte scurt
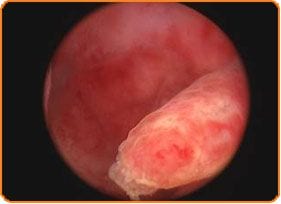
Histeroscopia diagnostică se efectuează rapid și fără durere, ca o examinare ginecologică obișnuită, și se înregistrează video, înregistrarea păstrându-se în istoric. Prin această metodă se explorează interiorul cavității uterine, locul unde se va implanta embrionul. Poate depista următoarele condiții patologice;
- starea endometrului
- prezența polipilor sau a fibroamelor
- prezemța inflamației sau a cicatricilor


Histeroscopia intervențională este o metodă utilizată de rutină in Clinica MITOSIS. Necesită anestezie și sală de operație. Este un mijloc simplu și rapid prin care se abordează diverse patologii care distorsionează cavitatea uterină;
- extirparea polipilor
- liza simfizelor
- îndepărtarea diafragmelor
- prelevarea biopsiei pentru depistarea infecțiilor cu chlamidia,ureoplasma,micoplasma și virusul herpetic
