Rilevazione di atipia cromosomica
Citogenetica
La citogenetica è la scienza che studia i cromosomi e le sindromi genetiche, per identificare aberrazioni cromosomiche numeriche o/e strutturali.
Che cosa sono i cromosomi?
I cromosomi sono costituiti dal DNA e di proteine, e si trovano nel nucleo di ogni cellula. Hanno una struttura determinata e sono 46 (23 coppie di cromosomi omologhi) ovvero 22 coppie di autonomi e una coppia di cromosomi sessuali (Χ e Υ), cioè quelli che determinano il sesso. La donna ha due cromosomi Χ (ΧΧ) e l’uomo un cromosoma Χ e uno Υ (ΧΥ).

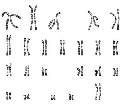
Come si studiano I cromosomi?
Lo studio dei cromosomi avviene con la formazione di cariotipo per controllarne il numero e la struttura. Per formare il cariotipo, si classificano i cromosomi in coppie di omologhi in base alle loro dimensioni e la posizione del centromero.
Per studiare ogni caso e creare il cariotipo si applica la tecnica di suddivisione in zone, con un limite minimo di 550 zone formate, assicurando così un metodo di studio dei cromosomi più completo. Per analizzare ogni caso, si studiano per lo meno 20 metafasi (cellule). In certi casi speciali, come l’esplorazione di un possibile mosaicismo, il numero delle metafasi aumenta secondo il caso.
Questo esame si raccomanda alle persone con problemi di subfertilità e coppie con aborti multipli, in particolare durante il primo trimestre.
E possibile notare nel cariotipo anomalie strutturali bilanciate, come per esempio inversioni oppure traslocazioni di cromosomi, il che significa che, mentre non ci sono pericoli per la persona stessa, detta persona e portatrice di gameti sbilanciati, i quali se fecondati daranno embrioni con materiale genetico non-bilanciato che, di solito, sono presto abortiti ma possono (più raramente) arrivare alla nascita, pur essendo patologici.
Inoltre, e anche probabile trovare nel cariotipo della persona esaminata un’anomalia dei cromosomi sessuali X e , in tutte le cellule oppure in una percentuale di queste, che causa sopratutto problemi di riproduzione.
Il cariotipo da sangue periferico e raccomandato per tutte le coppie che patiscono di problemi di procreazione e inizieranno la procedura di fecondazione in vitro.
E indispensabile prelevare da 3 a 5 cc di sangue periferico in una provetta sterilizzata, che contiene una quantità dosata di eparina secca (provetta con tappo verde). Questo campione può essere conservato in refrigeratore ai 4oC, fino a 48 ore dal momento del prelievo. Il tempo di consegna dei risultati e quindici giorni feriali.


